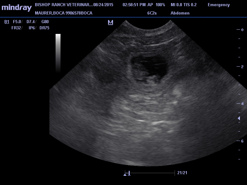
Boca is pregnant!

We took Boca in to Bishop Ranch Veterinary Center today for her ultrasound with Dr Cain and Boca is definitely pregnant!  There are maybe 7-8 pups in there, and all looked good according to the doc.  Due date is September 25, 2015.

The sire is Jody Faulkner's Buck - you can learn more about him on the page we've set up on this site

We have had a LOT of interest in this litter and a wait list is being formed.  Picks will be confirmed when the pups are 6 - 8 weeks (possibly sooner) to verify that we have the best pup/home matches possible.  We will be posting a questionnaire for those interested in being added to the wait list.  Updates will be posted on this site. 

If you have any questions, please contact us!